
Con la plataforma de terapia guiada por imágenes Azurion, sus equipos médicos reciben el beneficio de una experiencia de usuario perfecta y la simplicidad del control de pantalla táctil que puede mejorar el flujo de trabajo del laboratorio de cateterismo. El control desde la mesa permite que no tenga que ir a la sala de control para acceder a las aplicaciones. Las soluciones inteligentes, como ClarityIQ y Posicionamiento de dosis cero, proporcionan una gestión eficiente de la dosis porque abordan la creciente demanda de una mayor seguridad para los pacientes y empleados ya que usan dosis bajas de rayos X que no comprometen la calidad de la imagen.

Philips IntraSight le ofrece un conjunto completo de herramientas de imágenes clínicamente probadas1-5, fisiología y corregistro6 en una plataforma moderna y segura que le ayudará a simplificar intervenciones complejas, acelerar los procedimientos de rutina y mejorar la eficiencia del laboratorio. Estas herramientas intervencionistas de primera clase, en última instancia, le permiten ir más allá del angiograma y completar su vista del vaso objetivo para que pueda tomar decisiones clínicas rápidas e informadas. IntraSight se basa en una plataforma moderna y escalable que estará lista para proporcionarle nuevas innovaciones y herramientas a medida que estén disponibles en el futuro.

Administración de la información (Information Management, IM) Xper, diseñado para permitir flujos de trabajo del laboratorio de cateterismo más eficientes con monitoreo de hemodinamia y gestión de datos. Agiliza los flujos de trabajo de los informes médicos, la facturación, los informes de registro y la gestión de inventario.
Philips presenta el sistema de hemodinamia intervencionista (sistema Philips Hemo) que aporta mediciones hemodinámicas avanzadas al laboratorio de cateterismo. Integrado con el monitor de pacientes IntelliVue X3 de Philips, líder en el mercado, esta combinación única permite el monitoreo continuo de pacientes en todo el laboratorio de cateterismo. Al conectar el IntelliVue X3 en el laboratorio de cateterismo con el sistema Philips Hemo, puede monitorear continuamente a un paciente.
IntraSight ha tenido un impacto inmediato en nuestro laboratorio. Su uso es tan sencillo e intuitivo que no nos costó nada acostumbrarnos a él. Ha hecho que el uso de la fisiología y las imágenes sea aún más rápido y fácil, lo que supone un gran avance para nosotros y para nuestros pacientes”.
Dra. Rasha Al-Lamee
Imperial College de Londres, Hospital Hammersmith

más horas de disponibilidad operativa
135 horas más en promedio de disponibilidad operativa por año.* Gane tiempo para tratar a más pacientes en su suite intervencionista. *Los datos que se muestran son un promedio, según la comparación entre los sistemas conectados y no conectados de forma remota. Muestra de datos de 2018 para Allura FD y Azurion (n = 9955)

coincidir en que el nuevo módulo de pantalla táctil mejora la facilidad de uso
El 91 % de los usuarios de Azurion piensan que la tecnología mejorada del módulo de pantalla táctil aumenta la facilidad de uso al cambiar entre aplicaciones compatibles (por ejemplo, rayos X, relación instantánea sin ondas [instantaneous wave-free ratio, iFR], reserva de flujo fraccional [Fractional flow reserve, FFR], EIV, hemodinamia, etc.) durante las intervenciones en comparación con sus sistemas actuales.* * Resultados obtenidos durante una evaluación de usabilidad en el período de mayo a junio de 2019. En las pruebas participaron 23 especialistas (16 médicos y 7 técnicos) de Europa que realizaron procedimientos con el sistema de terapia guiada por imágenes Azurion 2.1 en un flujo de trabajo cardíaco y en un flujo de trabajo no cardíaco en un entorno de laboratorio intervencionista simulado.

reducción de costos
Se ha demostrado que la iFR de Philips reduce el tiempo de procedimiento en un 10 %* y produce un ahorro de costos económicos de $896** en comparación con la FFR. * Davies JE, et al., Use of the Instantaneous Wave-free Ratio or Fractional Flow Reserve in PCI. N Engl J Med. 2017 May 11;376(19):1824-1834. **Patel M. “Cost-effectiveness of instantaneous wave-Free Ratio (iFR) compared with Fractional Flow Reserve (FFR) to guide coronary revascularization decision-making.” Late-breaking Clinical Trial presentation at ACC on March 10, 2018.


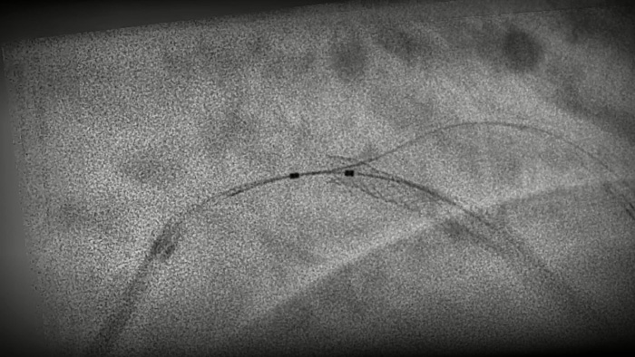
Una tecnología exclusiva de Philips, crea una vista en tiempo real de las arterias coronarias compensada por el movimiento. Un angiograma coronario resaltado se superpone sobre una imagen fluoroscópica 2D en vivo, y crea una hoja de ruta coloreada que se ajusta automáticamente, proporciona retroalimentación visual continua sobre el posicionamiento de cables y catéteres.

StentBoost Live10 le ayuda rápidamente a verificar el posicionamiento antes y después de desplegar balones, stents y dispositivos intracoronarios para ver la implementación y confirmar la expansión completa. Y todo ello se realiza en tiempo real, por lo que ya no tendrá que esperar a recibir nuevas imágenes antes de reposicionar.

ISCV está diseñado para agilizar el flujo de trabajo en todo el proceso de atención cardiovascular. Proporciona un único punto de acceso en cualquier momento y prácticamente en cualquier lugar para apoyar la toma de decisiones informadas. Se puede ver y controlar desde FlexSpot y FlexVision Pro de Azurion, lo que permite una fácil verificación intraprocedimental de la información preoperatoria.

Optimice los resultados de los pacientes mediante un criterio estandarizado de EIV. 1,2 En comparación con la ICP guiada por angiografía sola, en todos los pacientes, ULTIMATE muestra que la ICP guiada por EIV reduce, de forma significativa, la revascularización de la lesión diana (RLD) impulsada clínicamente. Este beneficio se mantuvo durante tres años. Solo el 1,6 % de fallo en el vaso diana (FVD)* a los 12 meses y el 4,2 % de FVD a los 3 años cuando se cumplieron los criterios óptimos de la ICP guiada por EIV.

La iFR es el principal índice fisiológico sin hiperemia para medir la presión en procedimientos de diagnóstico e intervención que es reconocido por las sociedades cardiovasculares clave4,5,6,7 Solo con la iFR se han validado clínicamente los datos de los resultados de los pacientes en los estudios de fisiología más grandes de la historia.1,2,3,9 El corregistro de la iFR mapea las mediciones fisiológicas, directamente sobre el angiograma y permite una guía de procedimiento más completa.

Diseñado para cruzar, preparar y tratar las lesiones coronarias más complejas. Este catéter de aterectomía no mecánica puede aplicarse sobre cualquier cable de 0,014” y puede eliminar y modificar la placa de múltiples formas, y está aprobado para la más amplia gama de indicaciones coronarias en aterectomía.

Altera significativamente el panorama para el tratamiento de la arteriopatía coronaria (AC), ofrece el rendimiento avanzado que solo una solución clínica innovadora puede proporcionar. El catéter con balón de puntuación para la Angioplastia coronaria transluminal percutánea (ACTP) AngioSculpt RX es el único dispositivo de puntuación especializado indicado para reestenosis intra-stent (RIS) y lesiones complejas de tipo C.

El primer cable guía de presión de núcleo sólido del mundo.1 Con un nuevo diseño de caballo de batalla, solo el cable guía de presión Philips OmniWire combina la confianza en el rendimiento de los cables con los resultados probados de la iFR y el corregistro de la iFR, lo que facilita el beneficio de la fisiología en todo el caso.2-4
Referencias iFR EIV * Las herramientas de corregistro están disponibles en la configuración de IntraSight 7 a través de SyncVision.
You are about to visit a Philips global content page
Continue