Ablación de tumores

Biopsia y ablación de tumores

Ícono de oncología

    Productos destacados para este procedimiento

    Intervenciones con aguja altamente precisas y seguras con XperGuide y la THC.

    XperGuide y THC

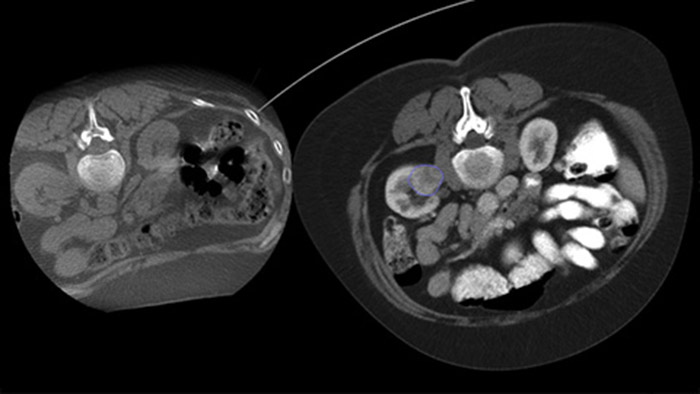
    La heterogeneidad de las lesiones y la falta de visibilidad limitan la calidad de las muestras, así como la viabilidad de las biopsias cuando se realizan mediante ecografía o TC convencional. Con la creciente adopción de programas de cribado en pulmón, los cánceres de pulmón incipientes que se manifiestan como nódulos pequeños se han detectado con más frecuencia que nunca. Se observó que el 14,5 % de una población sometida a cribado tenía nódulos ≤10 mm.1-2 Nuestra tecnología de navegación de agujas con THC aumenta la precisión, y permite focalizarse en lesiones más pequeñas (< = 1 cm) o heterogéneas con mayor precisión, con menos reposicionamiento de la aguja y con una dosis menor que con la TC convencional.1-2

    2 veces

    Posicionamiento de la aguja
    más preciso

    en comparación con

    la TC convencional 1

    6 veces

    menos reposicionamientos

    de la aguja

    en comparación con

    la TC convencional 1

    29 %

    menos dosis en la piel

    en comparación con

    la TC convencional 1

    Biopsia y ablación de tumores

    Infografía sobre la ablación de tumores
    XperGuide y THC

    Un enfoque integral respalda resultados exitosos

    La ablación percutánea (radiofrecuencia, microondas y crioablación) es un tratamiento mínimamente invasivo bien establecido para los tumores de riñón, hígado, pulmón y hueso. Es fundamental definir los límites del tumor y decidir el número óptimo de agujas y la correspondiente trayectoria de estas para poder realizar un tratamiento completo del tumor y no causar daños en el tejido circundante.

     

    Navegar con precisión con baja dosis hasta la lesión de interés sin reposicionar la aguja aumenta las posibilidades de éxito y reduce el riesgo de complicaciones de las biopsias o ablaciones. La confirmación del punto final del tratamiento de ablación puede realizarse con imágenes en 3D mientras el paciente sigue en la mesa.

    Alineación de imágenes previa al procedimiento con THC

    Imagen 3D de la THC con vista dual

    Dual View permite la superposición de una imagen 3D previa al procedimiento (TC/RM/TEP) sobre una THC Dual 3D intraprocedimiento para visualizar mejor las lesiones y acceder a información crítica para la planificación de la trayectoria de la aguja.

    Guía de la trayectoria de la aguja en vivo

    Guía de la trayectoria en vivo con XperGuide

    XperGuide proporciona una guía de imagen en vivo de alta precisión de cada aguja a una posición determinada mediante la superposición de trayectorias preplanificadas con imágenes fluoroscópicas.3

    Imágenes de lesiones posteriores a la ablación con la THC

    THC image

    Adquiera una THC posterior a la ablación para demostrar la extensión de la cobertura del tumor y confirmar la finalización de su tratamiento.

    Imagen de tejidos blandos

    SmartCT Soft Tissue

    SmartCT Soft Tissue ofrece una técnica de adquisición mediante TC de haz cónico (THC) aumentada con guía paso a paso, visualización 3D avanzada y herramientas de medición; todo accesible en el módulo de pantalla táctil desde la mesa.

    Explore los diversos procedimientos en la terapia guiada por imágenes en la oncología intervencionista

    • Embolización de tumores

      Embolización de tumores

      Soluciones para una orientación eficaz en el tratamiento y la toma de decisiones para la embolización del tumor que ofrece la terapia guiada por imágenes de Philips.

      Conozca más

    Referencias

     

    * XperGuide Ablation es una función opcional de XperGuide

     

    1. Abi-jaoudeh et al , Cone Beam vs Conventional CT Navigation for Image-Guided Biopsy, J VascIntervRadio; 2016; 27: 1342–1349.
    2. Floridi C et al, Percutaneous needle biopsy of mediastinal masses under C-arm conebeam CT guidance: diagnostic performance and safety, Medical Oncology, 2017; 34(4): 1-7
    3. Ji Yung Choo; Percutaneous transthoracic needle biopsy of small (1 cm) lung nodules under C-arm cone-beam CT virtual navigation guidance; Eur Radiol (2013) 23:712–719.

    Siempre estamos interesados en relacionarnos con usted

    Háganos saber cómo podemos ayudar

    1
    Seleccione su área de interés
    2
    Detalles de contacto

    You are about to visit a Philips global content page

    Continue

    You are about to visit a Philips global content page

    Continue

    Nuestro sitio se puede visualizar mejor con la última versión de Microsoft Edge, Google Chrome o Firefox.