Su capacidad para ver las patologías extremadamente complejas de las malformaciones arteriovenosas (MAV), las fístulas y otras malformaciones es crucial a la hora de decidir si tratar o vigilar a un paciente. Durante décadas, los neuroespecialistas han confiado en las sofisticadas soluciones de neuroimagen de Philips para respaldar la planificación y las decisiones de tratamiento seguras para las intervenciones de las MAV. Ahora, a medida que el campo se desplaza hacia la monitorización médica de las MAV no rotas, nuestras exclusivas capacidades de imagen pueden volver a marcar la diferencia.

SmartCT Angio proporciona una vista volumétrica en pocos segundos para ayudar a evaluar las arterias nutricias, las venas de drenaje, las venas arterializadas, el núcleo y la alteraciones anatomopatológicas rotas o no para guiar la toma de decisiones. Los volúmenes 3D se visualizan con alta resolución espacial y compensación automática del movimiento del paciente para mejorar la vista de los detalles importantes.

La capacidad de ver la anatomía vascular submilimétrica mejora las posibilidades de éxito y aumenta la confianza en el tratamiento. SmartCT Vaso proporciona imágenes 3D de alta resolución que muestran información clave sobre las estructuras vasculares cerebrales para apoyar la mejor evaluación espacial posible de los vasos en el contexto de los tejidos blandos.

SmartCT Roadmap proporciona una superposición de imágenes 3D en vivo que se puede segmentar para para enfatizar los vasos y las lesiones objetivo, y facilitar un cateterismo rápido. SmartCT Roadmap superpone una reconstrucción 3D del árbol vascular, los segmentos vasculares o las anotaciones con imágenes fluoroscópicas en vivo.

Cuando usted está monitoreando las MAV a lo largo del tiempo, los artefactos de sustracción pueden disfrazar la información clínica. El exclusivo cambio automático de píxeles de ClarityIQ de Philips ayuda a eliminar la información que puede ser engañosa, en tiempo real y sin interacción del usuario.

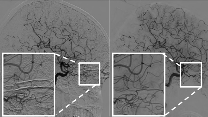
Durante el tratamiento, los artefactos de sustracción pueden oscurecer la dirección en la que viajan los agentes embólicos líquidos. El uso del desplazamiento automático de píxeles en nuestro ClarityIQ le permite ver la dirección en la que viaja el agente embólico líquido y su llegada.

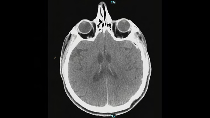
SmartCT Soft Tissue es una técnica de adquisición de rayos X que genera una vista similar a una TC de tejido blando en relación con otras estructuras durante los procedimientos. Puede utilizar las imágenes similares a la TC después de una MAV para comprobar el resultado final y el potencial sangrado cuando el paciente todavía está en la mesa.

El modo de pegamento Roadmap Pro filtra los vasos ya embolizados, lo que le permite centrarse en lo que está inyectando y cómo se está difundiendo.
Azurion ofrece una serie de innovaciones de flujo de trabajo diseñadas para ayudar al personal a trabajar de manera eficiente y sencilla, mientras mantiene un enfoque único en el paciente y en la administración de la dosis de radiación durante los procedimiento en MAV.


La tecnología ClarityIQ reduce la dosis del paciente en un 75 % en la neuro-ASD1, mientras mantiene una calidad de imagen equivalente, en comparación con un sistema que no cuenta con ClarityIQ. Su compensación automática del movimiento elimina los artefactos del cráneo y del movimiento, lo cual es clave cuando se colocan dispositivos pequeños en la base del cráneo.

El posicionamiento de dosis cero le ayuda a reducir la dosis al permitirle desplazar la mesa, cambiar la altura de la mesa o mover el sistema de rayos X en la última retención de imagen para determinar la nueva posición central. Esto le ayuda a preparar la siguiente serie sin utilizar la fluoroscopia.

Le ofrece acceso directo y control total de las exploraciones diagnósticas preoperatorias, la información del paciente y las herramientas de planificación en la mesa para ahorrar tiempo, y evitar tener que entrar y salir innecesariamente del área estéril.

ProcedureCards agiliza y estandariza la configuración del sistema y ayuda a reducir los errores de preparación. Seleccione ProcedureCard para MAV y el sistema se configurará de la manera que desee. Los protocolos y/o listas de verificación de aneurismas específicos del hospital se pueden agregar a ProcedureCard y mostrarse en los monitores. Un hospital redujo el tiempo de preparación en el laboratorio en un 12 % con el apoyo de ProcedureCards.2.

Se puede utilizar para contener a pacientes inquietos bajo sedación consciente para ayudar a reducir los artefactos de movimiento durante el procedimiento.
Prepárese para asumir nuevos desafíos en el tratamiento del accidente cerebrovascular isquémico.
Conozca másSoluciones para el tratamiento del aneurisma cerebral para mejorar la certeza durante las intervenciones neurológicas que ofrece la terapia guiada por imágenes de Philips.
Conozca más Referencias * Como se describe en las Instrucciones de uso de SmartCT.
You are about to visit a Philips global content page
Continue