Nuestra suite vascular ofrece opciones de flujo de trabajo, herramientas de intervención especializadas y una amplia selección de dispositivos vasculares avanzados para mejorar la eficiencia del procedimiento y redefinir los resultados para sus pacientes con enfermedad aórtica. Respaldan cada paso del procedimiento, a medida que decide, guía, trata y confirma los resultados del tratamiento.

    Productos destacados para este procedimiento

    Después de un mes de uso, hemos pasado el punto en el que el valor clínico de VesselNavigator supera la inversión que hicimos”.

    Prof. Dr. F. Vermassen

    Hospital Universitario de Gante

    Experiencias de los clientes con la plataforma de terapia guiada por imágenes Philips Azurion

    La capacidad de tratar a un paciente más por día o, en el futuro,


    Esta es solo una de las muchas mejoras en el rendimiento del laboratorio logradas por el Departamento vascular intervencionista del Hospital St. Antonius después de instalar el sistema Azurion. En el primer estudio de rendimiento del laboratorio con Azurion se lograron resultados impresionantes; esto verificado por un tercero independiente.

     Un 28 %
    de reducción en el tiempo de laboratorio posterior al procedimiento3

    Un 17 %

    de reducción en la duración del procedimiento

    Un 44 %

    de aumento en el uso de herramientas de software de soporte

    Un 12 %
    de reducción en el tiempo de preparación del paciente

    Un 25 %
    de reducción en los casos planificados que se terminan después de las horas normales de trabajo

    Soluciones para la enfermedad aórtica

    Philips Azurion

    Philips Azurion

    Con Philips Azurion se ha logrado un gran avance en la mejora del flujo de trabajo, lo que da como resultado una eficiencia probada.  Con el número cada vez mayor de pacientes con enfermedades aórticas, Azurion ofrece una serie de innovaciones de flujo de trabajo diseñadas para ayudar a los equipos de cirujanos vasculares a trabajar de manera eficiente y constante, mientras mantienen un enfoque único en el paciente y administran la dosis de radiación durante las intervenciones.

    Ecografía intravascular (EIV) mejora la evaluación de la enfermedad

    EIV image

    La ecografía intravascular (EIV) es una tecnología de imágenes basada en catéteres que permite a los médicos visualizar los vasos sanguíneos de adentro hacia afuera para ayudar a evaluar la presencia y el alcance de la enfermedad. La EIV ayuda a decidir, guiar y confirmar el tratamiento intervencionista adecuado para cada paciente.

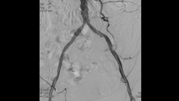
    Angiografía por sustracción digital (ASD) 2D con tecnología ClarityIQ

    ASD 2D con ClarityIQ

    Visualiza imágenes de alta definición de los vasos con un detalle vascular excepcional para apoyar las estrategias de tratamiento precisas, la navegación y el seguimiento.

    Explore los diversos procedimientos vasculares guiados por imágenes

    • Intervenciones en arteriopatía periférica

      Intervenciones en arteriopatía periférica

      Soluciones para los procedimientos de intervención en arteriopatías periféricas (APP) que ofrece la terapia guiada por imágenes de Philips.

      Conozca más
    • Sistema venoso

      Sistema venoso

      Las soluciones para procedimientos venosos que ofrece la terapia guiada por imágenes de Philips.

      Conozca más

    Referencias

     

    1. Tacher V, et al. Image guidance for endovascular repair of complex aortic aneurysms: comparison of two-dimensional and three-dimensional angiography and image fusion. J Vasc Interv Radiol. 2013 Nov;24(11):1698-706. doi: 10.1016/j.jvir.2013.07.016.
    2. Sailer AM, et al. CTA with fluoroscopy image fusion guidance in endovascular complex aortic aneurysm repair. Eur J Vasc Endovasc Surg. 2014 Apr;47(4):349-56. doi: 10.1016/j.ejvs.2013.
    3. Los resultados son específicos de la institución donde fueron obtenidos y podrían no reflejar los resultados alcanzables en otras instituciones

    Siempre estamos interesados en relacionarnos con usted

    Háganos saber cómo podemos ayudar

    1
    Seleccione su área de interés
    2
    Detalles de contacto

    You are about to visit a Philips global content page

    Continue

    You are about to visit a Philips global content page

    Continue

    Nuestro sitio se puede visualizar mejor con la última versión de Microsoft Edge, Google Chrome o Firefox.