
Dr. Takahashi,
La Sra. Silvia Schiffer, directora y radióloga experta en la clínica Radiologie Schiffer, en Alemania, comparte sus experiencias con el sistema de RM Prodiva 1.5T.
Descubra cómo Ingenia Prodiva puede llevar su servicio de resonancia a un nuevo nivel.
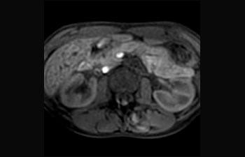
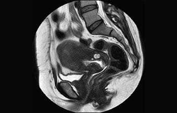
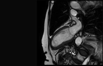
Conozca cómo Ingenia Prodiva puede satisfacer sus necesidades clínicas.












Conozca la opinión de los primeros usuarios de Ingenia Prodiva 1.5T acerca de sus experiencias con el sistema y cómo influye este en su centro de diagnóstico por imagen.

Acelere la productividad gracias a la simplificación de Breeze Workflow.

Un flujo de trabajo revolucionario que ofrece velocidad y productividad

La velocidad correcta, en todo momento.

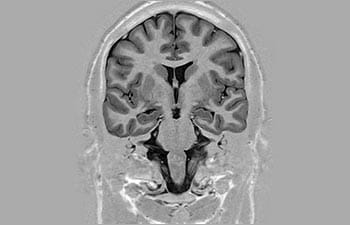
Mayor fiabilidad diagnóstica en neurooncología
1De acuerdo con un estudio interno en el que se compara el flujo de trabajo con el equipo de RM Achieva. 2 ComforTone estará disponible con Prodiva 1.5T en el cuarto trimestre de 2017 3 De acuerdo con un estudio interno donde se compara el flujo de trabajo en una combinación de aplicaciones cerebrales, musculoesqueléticas, de columna y de cuerpo con el equipo de RM Achieva 4 La operación normal se define como una adquisición típica realizada con suministro continuo de electricidad, así como de refrigeración del imán, sin incluir las actividades de servicio 5 En función del contrato y de la disponibilidad local 6 Con "otros equipos de RM" nos referimos a equipos de RM de 1,5 T de 60 cm para exámenes de cuerpo entero
You are about to visit a Philips global content page
Continue